Aller au contenu principal

PROTHESE SUR IMPLANT : INDICATIONS ET CONCEPTION

jeu. 28 Sep. 2023 08:30 à jeu. 28 Sep. 2023 17:30

STADE BONAL
Salon Jean-Pierre Peugeot
Rue Albert Roux
25200 MONTBELIARD
France

Document public

Prothèse sur implant : Indications et Conceptions

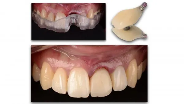
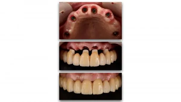
La démocratisation de nouvelles techniques comme le « Digital Smile Design », l’imagerie 3D, les outils de planification implantaire, les guides chirurgicaux stéréolithographiques, les empreintes optiques, la numérisation des modèles et la production par CFAO de piliers et de restaurations anatomiques optimisant nos profils d’émergence, contribuent à assurer la pérennité des restaurations implantaires à long terme.

De même l’amélioration de la prévisibilité des traitements, la mise en place des protocoles et la simplification des procédures cliniques et de laboratoire permettent aujourd’hui l’optimisation du résultat esthétique des restaurations implantaires, plus que jamais fidèles à la notion de « Biomimétisme ».

Le but de cette communication est de présenter une démarche thérapeutique reproductible, de la planification à la conception des restaurations implantaires unitaires et de grandes étendues, qui permet d’anticiper le résultat de nos traitements devenus de plus en plus complexes et de répondre aux principaux objectifs de l’implantologie moderne.

 

Marwan DAAS

- Diplômé de la faculté de Chirurgie Dentaire Paris Descartes.

- Maître de conférences en prothèses à l’Université Paris Cité, Praticien Hospitalier et co-directeur du diplôme universitaire d’implantologie oral de l’Université Paris Cité.

- Docteur d’Université en Biomécanique, il est lauréat de l’Académie Nationale de Chirurgie Dentaire en 2009 pour ses travaux consacrés à la modélisation par éléments finis des traitements implantaires.

- Président et fondateur de la Société Française des Traitements de l’Edentement Complet.

- Membre de l’Académie Nationale de Chirurgie Dentaire et de Chirurgie.

- Membre du Conseil d’administration de l’Académie Nationale de Chirurgie Dentaire.

- Président scientifique du congrès de l’ADF en 2019.

Il a publié de nombreux articles dans les domaines cliniques et recherches.

Il est le co-auteur en 2006 d’un livre consacré au traitement implantaire de l’édenté complet mandibulaire, en 2008 d’un livre consacré aux traitements implantaires par chirurgie guidée, en 2010 d’un livre consacré au traitement implantaire de l’édenté complet maxillaire et 2023 d’un livre sur les traitements prothétiques et implantaires de l’édenté total 2.0.

Il a une pratique privée à Paris, essentiellement destinée aux réhabilitations prothétiques complexes.